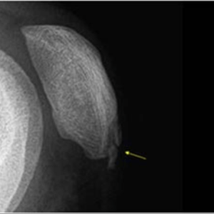
Sinding 1
Por
In
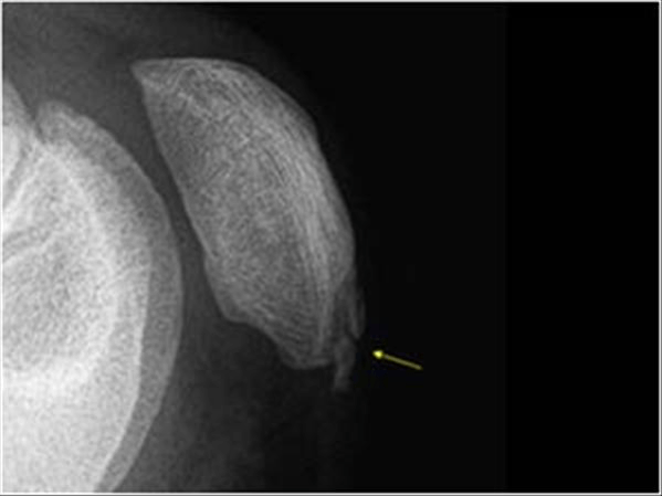
Sinding 12017-09-272017-09-27https://drlopezmartinez.com/wp-content/uploads/2019/12/logo-ok.pngTraumatólogo infantil y deportivo Dr López Martínezhttps://drlopezmartinez.com/wp-content/uploads/2019/12/logo-ok.png200px200px


