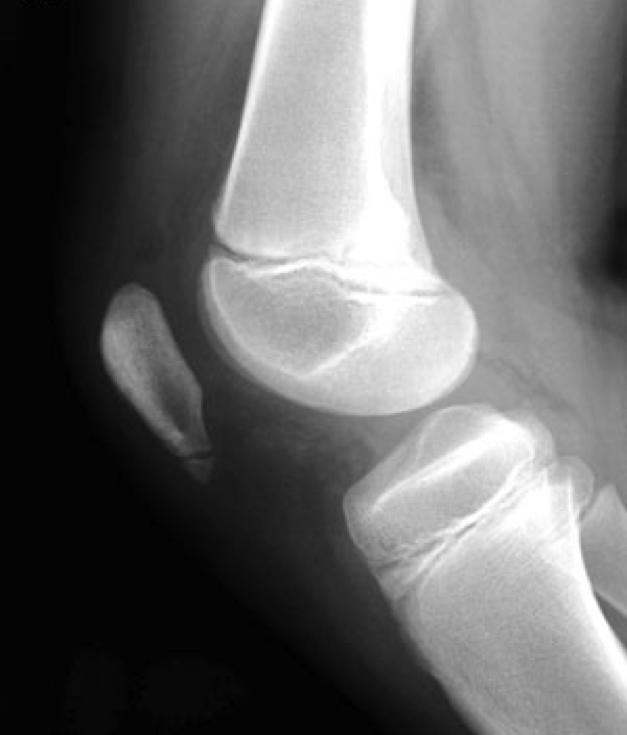
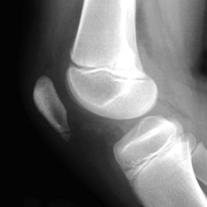
Sinding 2

 In